Boos Norbert MD

Boos Norbert MD

Boos Norbert MD, Professor
Prodorso
Zentrum für Wirbelsäulenmedizin
Forchstrasse 340
8008 Zürich
Switzerland

Subscribe Share
Boos Norbert MD
  • Masterclass 5.3 Klippel-Feil of the cervico-thoracic junction

    Masterclass 5.3 Klippel-Feil of the cervico-thoracic junction

    Boos Norbert MD, Professor
    Prodorso
    Zürich, Switzerland

    Project 22-026

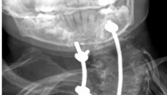
    This video show the surgery of a 8-year-old boy with a severe congenital cervicothoracic spine malformation (Klippel-Feil syndrome) in combination with asymmetri...

  • Surgery of a Klippel-Feil malformation of the cervicothoracic junction

    Surgery of a Klippel-Feil malformation of the cervicothoracic junction
    Boos Norbert MD, Professor
    Prodorso
    Zürich, Switzerland
    Projekt 09-004

    This video demonstrates a cervicothoracic instrumentation and fusion by a posterior approach after previous release by anterior approach. This led to a p...